top of page
CASE PRESENTATIONS
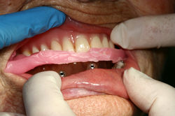
Guided Implant Surgery: Severely Atrophic Mandible
​
- 
Female Patient
 - 
Age: 65
 - 
Implant Sites: #22 & #27
 - 
In2Guide virtual plan
 - 
Guided implant surgery
 - 
Post-op radiographs
 
![]()  | ![]()  | 
|---|---|
![]()  | ![]()  | 
![]()  | ![]()  | 
![]()  | ![]()  | 
![]()  | ![]()  | 
![]()  | ![]()  | 
![]()  | ![]()  | 
![]()  | ![]()  | 
![]()  | ![]()  | 
![]()  | ![]()  | 
![]()  | ![]()  | 
3D Orthognathic Survey
​
- 
Male Patient
 - 
Age: 28
 - 
Open bite and asymmetric jaw
 - 
3D Photograph
 - 
Large View CBCT
 - 
iTero scan merged to CBCT
 
Implant & Airway Survey
​
- 
Female Patient
 - 
Age: 69
 - 
Referred for implant survey
 - 
Incidental finding: restricted airway sleep apnea
 
![]() Airway Most Constricted | ![]() Airway Most Constricted_001 | 
|---|---|
![]() Airway Most Constricted_002 | ![]() Panorex Page | 
![]() Mandible | ![]() Panorex_001 | 
![]() Mandible_002 | ![]() Avg smallest Airway chart | 
![]() Planning | ![]() P - Photos (Without) | 
![]() P - Photos (With) | 
bottom of page

































